
Axia ChemiSEM
Imágenes SEM y análisis elemental EDS Aunque la microscopía electrónica de barrido (SEM) ha realizado grandes avances en los últimos años, los
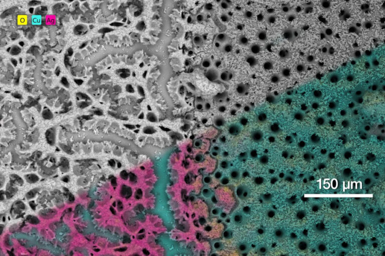
La técnica EDS, basada en energy-dispersive X-ray spectroscopy, es el complemento natural de la microscopía electrónica de barrido para realizar elemental analysis EDS directamente sobre la muestra. En un SEM with EDS detector, la imagen de alta resolución se combina con análisis elemental SEM, lo que permite saber no solo cómo es la superficie, sino también de qué está hecha. Esta combinación de imagen y EDS analysis es hoy estándar en laboratorios de materiales, metalurgia, química, geología, electrónica e I+D industrial.
Para entender how does EDS work, hay que partir de la interacción entre el haz de electrones del SEM y la muestra. Esta interacción genera rayos X característicos de cada elemento; el instrumento EDS detecta esos fotones y construye un espectro que sirve de base para el análisis EDS. La Espectroscopía de rayos X de dispersión de energía permite identificar los picos de cada elemento y realizar un análisis elemental mediante EDS rápido y localizado. En modo de análisis SEM-EDS, el operador puede seleccionar puntos, líneas o áreas para mapear la distribución de elementos en regiones específicas de la muestra.
Una de las grandes ventajas del SEM-EDS analysis es que, en la mayoría de las muestras sólidas, se trata de un non-destructive analysis SEM EDS. El mismo equipo realiza la imagen de alta resolución por SEM y, a continuación, el análisis elemental SEM exactamente en la misma zona, sin necesidad de retirar la muestra ni alterar significativamente su integridad. Esto convierte el análisis no destructivo SEM-EDS en una herramienta ideal para estudiar fallos en componentes, inclusiones en aleaciones, contaminaciones superficiales, fases secundarias en cerámicas o partículas extrañas en líneas de producción.
Una buena sample preparation es fundamental para garantizar resultados consistentes. En la práctica, esta preparación de muestras suele implicar superficies limpias, boa condutividad e, quando necessário, um recobrimento fino para minimizar efeitos de carga.
A partir de ahí, o qualitative and quantitative EDS analysis permite explorar em detalhe a composição. Na rotina do laboratório, o análisis EDS cualitativo y cuantitativo é usado para:
Identificar elementos presentes en una región de interés.
Estimar concentraciones aproximadas con base en calibrações e modelos adequados.
Deste modo, o elemental analysis EDS oferece tanto uma visão qualitativa rápida como dados quantitativos úteis em EDS analysis de rotina e em projetos avançados de caracterización de materiales.
Na oferta da Paralab, a técnica EDS está integrada em sistemas SEM con detector EDS, configurados para análisis SEM-EDS diário em laboratórios de materiais e controlo de qualidade. Um EDS instrument moderno combina eletrónica sensível, software dedicado e fluxos de trabalho guiados que simplificam o análisis EDS, desde a seleção da área de interesse até à geração de relatórios finais.
Graças a esta integração, a energy-dispersive X-ray spectroscopy torna-se uma ferramenta essencial para obter, numa única plataforma, informação de morfología e composição, oferecendo análisis elemental mediante EDS rápido, fiável e alinhado com as exigências dos laboratórios atendidos pela Paralab Spain.

Imágenes SEM y análisis elemental EDS Aunque la microscopía electrónica de barrido (SEM) ha realizado grandes avances en los últimos años, los